4种不良体态让你变胖变丑
两肩向前靠拢,从头顶往下看,肩部呈半圆状,属于长时间脊柱向前弯曲或含胸引起的体态问题。
有圆肩的人,不仅从视觉上就会觉得后背“厚”了不少,还可能引发肩颈痛。 同时,圆肩会使你的手臂上肌肉长时间处于松弛状态,这就会导致脂肪增多,容易在手臂内 侧形成拜拜肉,显得手臂特别的粗壮。
千万别把骨盆前倾错当翘臀!不标准的坐姿或习惯性的“葛优瘫”都可能引起髋部屈肌过紧或腹部肌肉力量过弱,而这些都可能是骨盆前倾的原因。
骨盆过度前倾会使腹部肌肉松弛,使脂肪增多, 也就出现了小肚腩。 此外,如果骨盆前倾的话,可能就会影响盆腔 内的脏器及生殖器官,导致月经不调、便秘等 问题。
正常成人的头部重约10斤,相当于一个大西瓜的重量。探颈会让你的颈部后侧肌群承受的重量再加上至少50斤。
你每天玩手机的时候,相当于脖子上扛了至少五个大西瓜...
长期如此,会引发劳损、疼痛、僵硬等一系列问题,还容易导致脂肪堆积在骨骼移位的缝隙中,形成双下巴。
长时间的圆肩、不正确坐姿、常背重物都可 能造成驼背。驼背的人往往是由于背部肌肉 太弱,松弛无力,导致脊椎后突,引起体态 改变。
驼背不仅会使人显得没精神,还会使胸部看 起来下垂,出现副乳,更可能导致呼吸不畅, 让你的摄氧量减少,影响身体废物排出,使 人发胖。
自测脊柱衰老程度,二级就该警惕了
由于长时间保持坐姿低头学习,看书工作,脊椎出现问题最早的表现就是脖子和腰背部酸胀不适、僵硬疼痛。
尤其是坐姿不太正确的人,习惯低头探脑袋、弓着腰的人,感觉会更加明显。
颈椎腰椎长期在不正确的姿势之下,原本正常的生理弯曲就会逐渐变直,脖子和腰疼痛加重,很僵硬,活动或者推拿后会有所缓解。 经常落枕,一觉睡醒脖子疼腰也僵硬不敢弯曲。有时候会发现脖子后面鼓了一个包,低头时尤其明显。
脊柱逐渐老化,椎间盘也慢慢变薄救护出现脊柱不稳定的状况。
低头转头、弯腰的时候, 脊柱的晃动可能会影响大脑的供血供氧,引起暂时性脑供血不足而出现头晕眼花昏扑等状况。
椎间盘的弹性越来越差,抗压能力也会越来越低。长时间低头、弯腰、坐着、负重,很容易使椎间盘膨出或者突出。
椎间盘突出压迫神经就会出现手脚四肢麻木、头晕、下肢疼痛、脖子疼等等。
椎间盘退化,脊柱会越来越不稳定于是身体就会产生骨刺尽力让身体保持稳定。
但是骨刺很容易压迫神经,引起手脚四肢麻木、疼痛,严重的甚至会发生瘫痪。
观看影片
自然吸气技术
精准贴合收放自如
主动支撑技术
像手臂一样托着你的身体
神经激活技术
激活脊柱和肌肉活力
神经激活技术 轻松激活脊柱和肌肉活力
颈椎修复,释放颈椎压力
矫正姿态,缓解身心压力
强力支撑,缓解颈腰压力
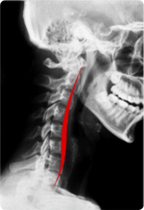
颈椎反弓、变直
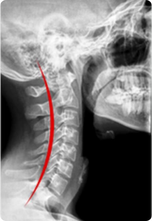
曲度初步改善
曲度基本恢复正常
美颈
美胸
美腰
美臀
美腿
身材更美
焕发身材新活力
疼痛缓解
焕发肌骨新活力
孕产后恢复
焕发盆底新活力
徐海鹰
女性康复专家
10年物理治疗师
中国健康管理协会心肺健康专委会委员
报名成功,收到免费的护心礼盒!
为你匹配适合你的专属天使
给你提供个性化的干预方案
目标达成,遇见更好的自己
选择一款你钟意的颜色


























“再也不用担心久坐的不良姿势了!”
“美体枕,真是办公必备,告别腰椎疼痛!”
“上了两天课程,就能缓解我肩颈的疼痛,我会坚持下去的。”
“就算每天10个小时用手机、看电脑也不用担心了!”
“护脊美体课程真得很好,美体枕也是旅行必备,很舒服,随时随地都可以学习!”
“我产后一直腰酸背痛,体态美系统课程对我帮助真得很大!”